Από την Anne-Marie Williams, RN, BSN,
για την ιστοσελίδα του LiveAction
Ορισμένες γυναίκες πιστεύουν ότι το «αντισυλληπτικό» ενδομήτριο σπιράλ χαλκού είναι πιο «φυσικό» και συνεπώς ασφαλέστερο από την ορμονική αντισύλληψη και από το σπιράλ που περιέχει ορμόνη.
Έχουμε αναφερθεί εκτενώς στα σοβαρά προβλήματα υγείας που σχετίζονται με την χρήση ορμονικής αντισύλληψης. Τα ίδια προβλήματα προκαλούνται γενικά και από το ενδομήτριο σπιράλ λεβονοργεστρέλης (LNG-IUD), γνωστό και ως ορμονικό σπιράλ. Οι γυναίκες που επιθυμούν να εγκαταλείψουν οποιαδήποτε μορφή ορμονικής αντισύλληψης συχνά στρέφονται στο σπιράλ χαλκού, γνωστό με την εμπορική ονομασία Paragard, θεωρώντας ότι το «χωρίς ορμόνη» σημαίνει «χωρίς παρενέργειες».
Ισχύει, όμως, ότι το σπιράλ «χωρίς ορμόνες» είναι πιο φυσικό και συνεπώς ασφαλέστερο; Ποιες είναι οι παρενέργειες του σπιράλ χαλκού τις οποίες πρέπει να γνωρίζουν οι γυναίκες;
Πώς αποτρέπει το σπιράλ χαλκού την εγκυμοσύνη;
Το μη ορμονικό σπιράλ είναι μια μικρή πλαστική συσκευή σε σχήμα Τ τυλιγμένη με ένα χάλκινο σπείραμα που απελευθερώνει συνεχώς χαλκό στην μήτρα. Σύμφωνα με τις επίσημες πληροφορίες συνταγογράφησης, «Το Paragard λειτουργεί εμποδίζοντας το σπέρμα να φτάσει στο ωάριο, εμποδίζοντας το σπέρμα να γονιμοποιήσει το ωάριο ή πιθανώς εμποδίζοντας την προσκόλληση (δηλ. εμφύτευση του σχηματισθέντος εμβρύου) στην μήτρα. Το Paragard δεν εμποδίζει τις ωοθήκες σας να παράγουν ωάριο (ωορρηξία) κάθε μήνα». Η εν λόγω συσκευή θεωρείται αποτελεσματική για έως και 10 χρόνια. Συνεπώς, το σπιράλ χαλκού δεν εμποδίζει την ωορρηξία, ούτε και την γονιμοποίηση, αλλά παρεμποδίζει την εμφύτευση του εμβρύου στην μήτρα.
Γενικές παρενέργειες των σπιράλ
Ακτινογραφία με σπιράλ που διαπέρασε την μήτρα και εντοπίζεται στην πύελο
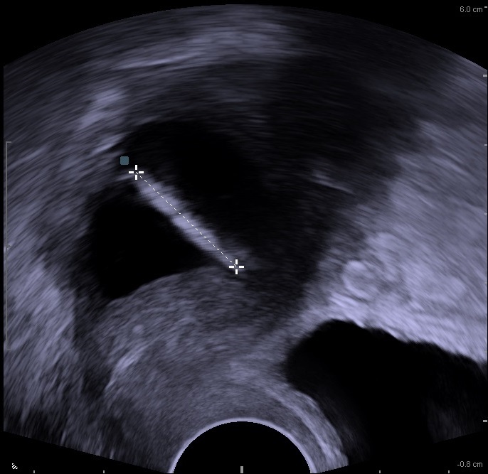
Σπιράλ χαλκού που διαπέρασε την μήτρα όπως φαίνεται στους υπερήχους
Οι κίνδυνοι που σχετίζονται με οποιονδήποτε από τους δύο τύπους σπιράλ περιλαμβάνουν:
- Διάτρηση (τρύπημα ή διείσδυση) του σπιράλ στην μήτρα ή σε ένα κοντινό όργανο η οποία μπορεί να προκαλέσει σοβαρή αιμορραγία.
- Τυχαία αποβολή, οπότε το σπιράλ πέφτει.
- Μόλυνση.
Αυτές οι παρενέργειες είναι σπάνιες, αλλά μια μελέτη που χρηματοδοτήθηκε από τον FDA και δημοσιεύτηκε στο Lancet το 2022 κατέληξε ότι η διάτρηση ήταν πολύ πιο πιθανό να συμβεί από ό,τι είχε υποτεθεί προηγουμένως. Οι κίνδυνοι ήταν υψηλότεροι για τις γυναίκες που είχαν τοποθετήσει σπιράλ τους πρώτους μήνες μετά τον τοκετό.
Επιπλέον, επειδή τόσο τα ενδομήτρια σπιράλ LNG όσο και τα ενδομήτρια σπιράλ χαλκού λειτουργούν διαφορετικά από άλλους τύπους αντισύλληψης και δεν έχουν σχεδιαστεί για να αποτρέπουν την ωορρηξία, μπορεί να λειτουργήσουν ως εκτρωτικά στις πολύ πρώιμες εγκυμοσύνες.
Παρενέργειες ειδικά από τα ενδομήτρια σπιράλ χαλκού.
Οι χρήστες ενδομήτριας σπιράλ χαλκού είναι πιο πιθανό να εμφανίσουν βαρύτερες περιόδους, επώδυνες περιόδους, κηλίδες αίματος μεταξύ των περιόδων, ακόμη και συνεχή αιμορραγία, και αυτοί οι κίνδυνοι είναι γνωστοί εδώ και καιρό. Χιλιάδες αγωγές έχουν ασκηθεί από γυναίκες που έπαθαν εσωτερική θραύση του ενδομήτριου σπιράλ Paragard.
Σπασμένο spiral Paragard
Οι χρήστριες του Paragard διατρέχουν υψηλότερο κίνδυνο εμφάνισης βακτηριακής κολπίτιδας, η οποία αυξάνει τον κίνδυνο μόλυνσης από σεξουαλικά μεταδιδόμενα νοσήματα.
Μπορούν τα ενδομήτρια σπιράλ χαλκού να προκαλέσουν τοξικότητα από τον χαλκό;
Γυναίκες με συγκεκριμένα προβλήματα υγείας δεν πρέπει να εισάγουν ενδομήτρια σπιράλ χαλκού, λόγω της πιθανότητας δηλητηρίασης από το χαλκό ή τοξικότητας από χαλκό (από την συσσώρευση περίσσειας χαλκού στο σώμα). Αυτές οι παθήσεις περιλαμβάνουν την νόσο του Wilson, ηπατικές νόσους, ηπατίτιδα, αναιμία (χαμηλός αιματοκρίτης που μπορεί να εμφανιστεί ως αποτέλεσμα βαριάς περιόδου από το Paragard), προβλήματα θυρεοειδούς, λευχαιμία, λέμφωμα και ρευματοειδή αρθρίτιδα.
Καμία έρευνα μεγάλης κλίμακας μέχρι σήμερα δεν έχει συνδέσει οριστικά τα σπιράλ χαλκού με την τοξικότητα του χαλκού στον γενικό πληθυσμό. Ορισμένες γυναίκες, όμως, εμφανίζουν σημάδια τοξικότητας του χαλκού κατά την χρήση του σπιράλ χαλκού, όπως πονοκεφάλους, κόπωση, ναυτία, κατάθλιψη, ευερεθιστότητα, λιγούρες, εναλλαγές διάθεσης και θόλωση στο μυαλό τους. Έχουν περιγραφεί πολλές ιστορίες γυναικών με προβλήματα από το σπιράλ χαλκού, συμπεριλαμβανομένων καταστροφικών επιπτώσεων στην ψυχική υγεία.
Τον Ιανουάριο του 2025, ήλθε στην δημοσιότητα η τραγική περίπτωση της μαίας του Στρατού Krista Labbe. Στα τέλη του 2023, η Labbe αυτοκτόνησε με τραγικό τρόπο εκδηλώνοντας ψύχωση που αποδόθηκε τόσο από την οικογένειά της όσο και από έναν ειδικό στην τοξικότητα του χαλκού. Η Labbe είχε τοποθετήσει τέσσερα σπιράλ χαλκού σε μόλις 8 χρόνια και η ψύχωσή της μπορεί να προκλήθηκε από τις επαναλαμβανόμενες «εκρήξεις χαλκού» - που είναι γνωστό ότι συμβαίνουν λίγο μετά την εισαγωγή του σπιράλ χαλκού.
Συμπέρασμα
Καθώς οι γυναίκες εγκαταλείπουν ολοένα και περισσότερο την ορμονική αντισύλληψη, ιδιαίτερα το χάπι, αξίζουν να ενημερώνονται τόσο για την πρώιμη εμβρυοκτόνο δράση, όσο και για τους κινδύνους που ενέχει το σπιράλ χαλκού για την δική τους υγεία. Το γεγονός ότι δεν περιέχει ορμόνες δεν σημαίνει ότι είναι και ακίνδυνο.
Μετάφραση και επιμέλεια κειμένου: «Αφήστε με να ζήσω!»
Πηγή: liveaction.org
